اگر بهدنبال «جراحی افزایش قد با روش MTN» هستید و میخواهید قبل از هر تصمیمی دقیق بدانید این روش چیست و چه تفاوتی با سایر تکنیکها دارد، این صفحه برای شماست. در مرکز افزایش قد ایران، روش MTN بهعنوان یکی از تکنیکهای پیشرفته ترکیبی داخلی–خارجی فقط برای بیماران واجد شرایط انجام میشود. در ادامه به زبان ساده توضیح میدهیم روش MTN چگونه باعث افزایش قد میشود، هزینه عمل افزایش قد به روش MTN حدوداً چقدر است، چه مزایا و محدودیتهایی دارد و در چه شرایطی میتواند انتخاب مناسبی برای شما باشد.
پادکست خلاصه جراحی افزایش قد با روش MTN
خلاصه سریع
این صفحه توضیح میدهد روش MTN (Manual Telescopic Nail) چیست و چطور با یک میله تلسکوپی داخل استخوان + یک پیچ کوچک بیرونی (برای تنظیم روزانه) باعث افزایش قد میشود. این سیستم بهصورت پتنت بینالمللی هم ثبت شده و لینک آن در سازمان جهانی مالکیت فکری (WIPO) آمده است.
از نظر «محدوده افزایش قد»، طبق پروتکل مرکز، ساق تا ۶٫۲۵ سانتیمتر و ران تا ۷ سانتیمتر و «ریکاوری کامل» حدود یک سال است. روند کلی: جراحی حدود ۳ ساعت، ترخیص ۲ تا ۳ روز بعد، سپس بعد از ۷ روز استراحت بیمار طبق دستور پزشک روزانه ۳ بار پیچ را میچرخاند؛ میزان افزایش روزانه حداکثر ۰٫۷ میلیمتر در ساق یا ۰٫۸ میلیمتر در ران است و کنترل رادیولوژی ماهانه دو بار انجام میشود. فاز افزایش قد معمولاً حدود ۴ ماه طول میکشد تا به هدف برسید.
در بخش توانبخشی، چون بافت نرم همراه استخوان «خودبهخود» کش نمیآید، فیزیوتراپی و تمرینات کششی حیاتی است؛ حداقل ۳ جلسه در هفته در فاز افزایش قد (و برای سن بالاتر، ممکن است بیشتر شود). از نظر فعالیت روزمره هم روز بعد از جراحی راه رفتن محدود با واکر ممکن است، رانندگی کوتاه معمولاً از حدود ۳ هفته با تأیید پزشک، و بازگشت به کار/تحصیل معمولاً ۳ تا ۶ ماه بعد (بسته به شرایط)؛ در عین حال در دوره افزایش قد، ایستادن/راه رفتن زیاد توصیه نمیشود و واکر تا ۸ ماه الزامی است.

- خلاصه سریع
- جراحی افزایش قد با روش MTN چیست؟
- فرایند جراحی افزایش قد با روش MTN
- برنامه افزایش قد با روش MTN
- اهمیت فیزیوتراپی و ورزشهای کششی در روش MTN
- روند بازگشت به فعالیتها پس از جراحی با روش MTN
- مزایای روش MTN نسبت به روش LON
- مقایسه روش MTN با LON و LATN
- مزایای جراحی افزایش قد به روش MTN
- نکات مهم در جراحی افزایش قد به روش MTN
- خطرات و عوارض اختصاصی روش MTN
- اسکار و جای زخم در جراحی افزایش قد به روش MTN
- چرا روش MTN توسط دکتر نادر مطلبیزاده را انتخاب کنید؟
- نمونه رادیولوژی افزایش قد ساق با روش MTN (بیمار ۲۰ ساله آقا)
- تجربه جراحی افزایش قد با روش MTN
- تجربه موفق افزایش قد با روش MTN – داوطلبی از کشور نروژ
- هزینه جراحی افزایش قد به روش MTN در مرکز افزایش قد ایران
- سوالات متداول درباره جراحی افزایش قد با روش MTN
- چگونه برای مشاوره و جراحی افزایش قد به روش MTN اقدام کنم؟
جراحی افزایش قد با روش MTN چیست؟
روش MTN در عمل افزایش قد مخفف Manual Telescopic Nail یا میله تلسکوپی دستی است. در این روش، یک میله تلسکوپی درون استخوان قرار داده میشود و یک پیچ کوچک در بیرون پا نصب میگردد. این پیچ مستقیماً به میله متصل است و با چرخاندن آن، طول میله افزایش پیدا میکند.
نوآوری MTN و ثبت بینالمللی
سیستم افزایش قد با میله تلسکوپی MTN تنها یک تکنیک جراحی تجربی نیست، بلکه طراحی آن در قالب یک پتنت بینالمللی نیز ثبت شده است. در این پتنت، جزئیات مکانیزم تلسکوپی، نحوه انتقال نیرو و کنترل دقیق بلندتر کردن طول استخوان توضیح داده شده است.
برای مطالعه بیشتر میتوانید به مستندات ثبت اختراع در پایگاه WIPO (سازمان جهانی مالکیت فکری) مراجعه کنید:
PCT/WO2024/127096 – BONE LENGTHENING DEVICE
مشاهده جزئیات پتنت در سایت WIPO
به زبان ساده، این پتنت نشان میدهد که سیستم MTN چگونه به صورت تلسکوپی در داخل استخوان باز و بسته میشود و چطور میتوان با حرکات بسیار کوچک روزانه، استخوان را بهآرامی بلندتر کرد، بدون اینکه نیاز به فیکساتور خارجی باشد.

فرایند جراحی افزایش قد با روش MTN
در روز جراحی در بیمارستان بستری میشوید، و آزمایشهای پیش از جراحی انجام میشود. سپس، به اتاق جراحی میروید. جراحی افزایش قد با روش MTN توسط دکتر نادر مطلبیزاده انجام میشود که حدود ۳ ساعت زمان میبرد. جراحی بر روی ساق در یک مرحله روی هر دو ساق انجام میشود، جراحی روی ران هم به همین صورت است به جزء در موارد استثنا که در دو مرحله انجام میشود. در نهایت، بین دو تا سه روز از بیمارستان مرخص میشوید.
برنامه افزایش قد با روش MTN
بعد از انجام جراحی و سپری شدن دوره استراحت ۷ روزه، بیمار طبق دستورالعملهای پزشک، سه بار در روز (هر ۸ ساعت) پیچ را میچرخاند. در هر روز، وابسته به محل انجام جراحی، طول میله حداکثر ۰.۷ در ساق پا یا ۰.۸ میلیمتر در ران افزایش مییابد. پزشک با بررسیهای دورهای و عکسهای رادیولوژی (هر ماه دو بار) این روند را کنترل میکند و در صورت نیاز، تغییرات لازم را اعمال مینماید. این افزایش تدریجی، باعث ایجاد فضای جدید در استخوان میشود که بهمرور با استخوان تازه پر شده و در نهایت، با توجه به سرعت استخوان سازی بیمار پس از حدود سه تا چهار ماه، ۶٫۲۵ سانتیمتر در ساق یا ۷ سانتیمتر در ران به قد اضافه میشود.

دورهای که در آن بیمار به قد هدفگذاری شده (۶٫۲۵ سانتیمتر در ساق یا ۷ سانتیمتر در ران) میرسد را دوره افزایش قد میگوییم که حدود ۴ ماه طول میکشد.
اهمیت فیزیوتراپی و ورزشهای کششی در روش MTN
افزایش طول استخوان از طریق دستگاه MTN انجام میشود، اما بافتهای نرم (عضلات، تاندونها و اعصاب) با این دستگاه رشد نمیکنند. برای هماهنگی این بافتها با طول استخوان بلندتر شده، ورزشهای کششی و فیزیوتراپی منظم باید انجام شود که کاملا حیاتی است.
در صورت عدم رعایت برنامه فیزیوتراپی، بافتهای نرم کوتاهتر از استخوان باقی میمانند که باعث ایجاد درد، سفتی عضلات و خشکی مفاصل میشود. در چنین شرایطی پزشک از بیمار میخواهد تا افزایش طول میله MTN را متوقف یا آهستهتر کند، که باعث طولانیتر شدن دوره درمان میشود. در بعضی موارد حتی لازم است عمل جراحی اصلاحی برای هماهنگی بافتهای نرم صورت گیرد. بنابراین، انجام تمرینات کششی و فیزیوتراپی نه تنها به کاهش درد و افزایش راحتی بیمار در طول دوره درمان کمک میکند بلکه پیشرفت به موقع مراحل درمان را تضمین میکند.
برنامه فیزیوتراپی در روش MTN
حداقل فیزیوتراپی در روش MTN سه بار در هفته برای دوره افزایش قد است. تعداد جلسات فیزیوتراپی وابسته به سن، جنس و سرعت افزایش طول استخوان است. برای مثال بیمار بالای ۴۰ سال لازم است در دوره افزایش قد به طور روزانه فیزیوتراپی انجام دهد.
حداقل ۳ بار فیزیوتراپی در هفته الزامی است.
حمایت از تاندونها و بهبود انعطافپذیری
در روش MTN، ممکن است هنگام استراحت شبانه یا در طول روز، از بریسهای مخصوص استفاده شود. این بریسها کمک میکنند تا تاندونها راحتتر کشیده شوند و انرژی کمتری برای افزایش طول آنها مصرف شود.
روند بازگشت به فعالیتها پس از جراحی با روش MTN
شما از فردای روز بعد از عمل به طور محدود میتوانید با کمک واکر راه بروید. استفاده از واکر الزامی است تا از فشار بیش از حد بر پا جلوگیری شود. از همان ابتدا امکان انجام کارهای شخصی خود را دارید. با این حال در دوره افزایش قد ایستادن و راه رفتن زیاد توصیه نمیشود. سه هفته بعد از جراحی اجازه رانندگی کوتاه مدت به شما داده میشود اما توصیه نمیشود. اگر شغل شما نشسته است، در صورتی که مداوم و طولانی هم نباشد میتوانید سریعتر به کار خود بازگردید، اما در مرکز افزایش قد ایران بین ماه سوم تا ششم بعد از جراحی را برای بازگشت به محل کار یا تحصیل توصیه میکنیم.
استفاده از واکر تا ۸ ماه پس از جراحی الزامی است.
مزایای روش MTN نسبت به روش LON
- عدم نیاز به جراحی دوم: پس از رسیدن به افزایش قد موردنظر، پیچ MTN بدون نیاز به جراحی در مطب باز میشود. این در حالی است که در روش LON، پس از پایان فاز افزایش قد، باید دستگاه خارجی با یک جراحی اضافی در بیمارستان برداشته شود.
- تحرک و زندگی روزمره راحتتر: روش MTN، فقط یک پیچ خارجی کوچک دارد، بنابراین بیمار راحتتر لباس میپوشد، میخوابد و در کل زندگی روزمرهاش راحتتر است.
- درد کمتر: روش MTN در قیاس با LON درد کمتری دارد.
- اسکار (جای زخم) کمتر: روش MTN در قیاس با LON اسکار کمتری دارد.
مقایسه روش MTN با LON و LATN
در جدول زیر، سه روش رایج جراحی افزایش قد یعنی MTN، LON و LATN را از نظر تعداد جراحی، نوع فیکساتور، راحتی روزمره و برخی نکات کلیدی دیگر بهصورت خلاصه مقایسه کردهایم. جزئیات هر روش در صفحات اختصاصی آن توضیح داده شده است.
| معیار مقایسه | MTN | LON | LATN |
|---|---|---|---|
| تعداد جراحیهای اصلی | ۱ جراحی اصلی برای نصب میله تلسکوپی (در صورت نیاز، جراحی جداگانه برای خارج کردن میله) | ۲ جراحی اصلی (نصب میله و فیکساتور خارجی + جراحی برای برداشتن فیکساتور خارجی) | ۲ جراحی اصلی (بلندتر کردن با فیکساتور خارجی، سپس تعویض با میله داخل استخوان با جراحی) |
| فیکساتور خارجی | ندارد؛ پیچ خارجی کوچک برای تنظیم میله تلسکوپی | دارد؛ فریم خارجی روی ساق/ران تا پایان فاز افزایش قد باقی میماند | در فاز اول دارد؛ بعد از رسیدن به طول موردنظر برداشته میشود و میخ جایگزین میشود |
| راحتی و کیفیت زندگی روزمره | راحتی نسبی بالاتر؛ بدون فریم خارجی، امکان پوشش راحتتر لباس و خوابیدن آسانتر | راحتی کمتر بهدلیل وجود فیکساتور خارجی، محدودیتهای لباس و خوابیدن، مراقبت روزانه از پینها | در فاز اول مشابه LON؛ پس از تعویض با میخ داخلی، راحتی نزدیک به روشهای کاملاً داخلی |
| حداکثر افزایش قد در هر بخش پا (در پروتکل مرکز) | ساق تا حدود ۶٫۲۵ سانتیمتر، ران تا حدود ۷ سانتیمتر (در بیماران مناسب) | ساق تا حدود ۶٫۲۵ سانتیمتر، ران انجام نمیشود | ساق تا حدود ۶٫۲۵ سانتیمتر، ران تا حدود ۷ سانتیمتر (در بیماران مناسب) |
| دوره استفاده از واکر / کمکحرکتی | استفاده از واکر از روز بعد جراحی، تا ۸ ماه بعد از جراحی | مشابه MTN | مشابه MTN |
| اسکار و ظاهر پوست | برشهای کوچک پوستی؛ بدون جای پینهای متعدد روی ساق/ران | اسکار برشها + جای چندین پین فیکساتور خارجی که ممکن است بهصورت لکههای پوستی باقی بمانند | اسکار برشها + جای پینهای فاز اول؛ پس از برداشتن فیکساتور، اسکارها باقی میمانند |
| خطر عفونت مسیر پین | بسیار کم؛ چون پین خارجی وجود ندارد و مراقبت اصلی روی محل برشها و پیچهای قفلکننده است | بالاتر؛ عفونت مسیر پین یکی از عوارض شایع فیکساتورهای خارجی است و نیاز به مراقبت روزانه دارد | در فاز وجود فیکساتور خارجی مشابه LON؛ بعد از تعویض با میخ، این ریسک حذف میشود |
| مناسب برای چه افرادی؟ | افرادی که تحمل فریم خارجی طولانی را ندارند، به ظاهر و راحتی اهمیت بیشتری میدهند | بیمارانی که محدودیت در پرداخت هزینههای جراحی دارند | بیمارانی که قد بسیار کوتاهی دارند و میله داخلی قابل استفاده نیست |

مزایای جراحی افزایش قد به روش MTN
- ✅ امکان راه رفتن از روز بعد از عمل با کمک واکر
- ✅ توانایی انجام کارهای شخصی در طول دوره افزایش قد
- ✅ بازگشت به برخی مشاغل و امکان رانندگی از هفته سوم (با تأیید پزشک)
- ✅ افزایش قد تا ۶٫۲۵ سانتیمتر در ساق پا و تا ۷ سانتیمتر در ران
- ✅ برداشتن پیچ افزایش قد بدون نیاز به جراحی
- ✅ پشتیبانی روانشناسی مداوم: پیش از عمل، در طول دوره افزایش قد، و پس از آن تا بازگشت کامل فرد به شرایط عادی
- ✅ هزینه کمتر نسبت به روشهای مشابه خارجی
- ✅ امکان ارتباط با بیماران قبلی و بهرهگیری از تجربیات آنها پیش از تصمیمگیری
نکات مهم در جراحی افزایش قد به روش MTN
🔹 مراقبت از پیچ افزایش قد:
پیچ باید همیشه خشک و بهخوبی پانسمان شود تا از عفونت و مشکلات احتمالی جلوگیری شود.
🔹 رعایت بهداشت فردی:
تمیز نگه داشتن محل پیچ افزایش قد اهمیت زیادی دارد و باید بهطور منظم بررسی شود.
🔹 تأثیرات احتمالی بر خواب:
برخی بیماران ممکن است مدتی دچار کمخوابی یا بیخوابی شوند، اما این مشکل با داروهای مناسب قابل کنترل است.
🔹 استفاده از بریسهای مخصوص:
در طول استراحت شبانه یا استراحت روزانه، ممکن است از بریسهای مخصوص برای کاهش فشار روی تاندونها و تسهیل روند کشیدگی آنها استفاده شود.
🔹 مدیریت درد:
شدت درد در افراد مختلف متفاوت است، اما انجام تمرینات کششی و فیزیوتراپی منظم به شکل قابل توجهی آن را کاهش میدهد.
خطرات و عوارض اختصاصی روش MTN
هیچ روش افزایش قدی بدون ریسک نیست. MTN هم مثل سایر تکنیکهای افزایش قد، عوارض عمومی جراحی و «دیستراکشن استئوژنز» را دارد (مثل تأخیر در جوشخوردن، سفتی مفصل، درد و خطر عفونت)، اما بهدلیل استفاده از میله تلسکوپی داخل استخوان، الگوی عوارض آن کمی متفاوت است.
در این بخش مهمترین خطرات و محدودیتهای مرتبط با MTN را بهصورت خلاصه میبینید. شدت و احتمال هر کدام، در بیماران مختلف میتواند متفاوت باشد و ارزیابی نهایی فقط در معاینه و پیگیری حضوری امکانپذیر است.
مطالعه پیشنهادی: تجربه روانی بیمار در طول مسیر
مشکلات جوشخوردن استخوان (Delayed union / Non-union)
اگر سرعت افزایش قد با وضعیت استخوان و بافت نرم هماهنگ نباشد، ممکن است کالوسِ کافی تشکیل نشود و جوشخوردن استخوان بهتأخیر بیفتد یا کامل نشود. در این حالت نیاز است سرعت کشش کم یا موقتاً متوقف شود و در موارد نادر ممکن است به عمل اصلاحی، پیوند استخوان یا تغییر برنامه درمانی نیاز باشد.
سفتی مفصل و کوتاهی بافت نرم
با وجود فیزیوتراپی برنامهریزیشده، برخی بیماران دچار سفتی زانو، مچ پا یا احساس کشش شدید در عضلات ساق میشوند. این عارضه معمولاً با فیزیوتراپی تهاجمیتر، تمرین خانگی منظم و در صورت لزوم تنظیم سرعت افزایش قد کنترل میشود، اما در موارد مقاوم میتواند محدودیت دائمی دامنه حرکتی ایجاد کند.
مشکلات مکانیکی خود میله و پیچ MTN
هرچند احتمال خرابی مکانیکی در میلههای داخل استخوانی نسبتاً پایین است، اما بهطور کلی این موارد ممکن است رخ دهند:
- گیر کردن مکانیزم تلسکوپی و سخت شدن چرخاندن پیچ MTN
- شل شدن یا شکستن پیچهای قفلکننده در دو سر میله
- خمشدن یا تغییر شکل میله در صورت عدم رعایت محدودیت وزنگذاری
- شکستن پیج افزایش قد MTN
خطای طول و محور (Over- / Under-lengthening و Malalignment)
در MTN افزایش طول به همکاری دقیق بیمار و تیم فیزیوتراپی وابسته است. اگر پیچ طبق برنامه نچرخد یا پیگیریهای رادیولوژی جدی گرفته نشود، احتمال «کمتر از حد» یا «بیشتر از حد» طولدادن استخوان وجود دارد. همچنین در هر جراحی میله داخل استخوانی، خطر اندکی برای انحراف محوری یا چرخشی ساق باقی میماند که تلاش میشود با تکنیک جراحی و کنترل تصویربرداری به حداقل برسد.
درد عمقی، تحریک عصبی و مشکلات حسی
در مدت کشش و اوایل جوشخوردن، احساس درد عمقی در ساق، گزگز یا بیحسی موقت در انگشتان و تغییرات حسی اطراف محل برشها ممکن است رخ دهد. در بیشتر بیماران این علائم با تنظیم مسکنها، کاهش موقت سرعت کشش و فیزیوتراپی بهبود پیدا میکند؛ اما در درصد کمی میتواند طولانیتر شود و نیاز به بررسی عصبی دقیقتر داشته باشد.
عفونت اطراف پیچها و محل برشها
در MTN بهدلیل نداشتن فیکساتور خارجی، عفونت مسیر پینها (Pin-tract infection) مثل LON وجود ندارد، اما همچنان احتمال عفونت پوست و بافت نرم اطراف برشها و پیچهای قفلکننده وجود دارد. اغلب این عفونتها با آنتیبیوتیک و مراقبت موضعی کنترل میشوند و به ندرت نیاز به جراحی پاکسازی پیدا میکنند.
عوارض عمومی جراحی و بیهوشی
خطر لخته خون (DVT)، خونریزی، عوارض بیهوشی، عفونت عمقی و مشکلات قلبی–ریوی مانند سایر جراحیهای بزرگ ارتوپدی وجود دارد و قبل از عمل، بر اساس سن، وزن و وضعیت سلامت عمومی بیمار ارزیابی میشود.
در مرکز افزایش قد ایران، برای کاهش این عوارض، انتخاب بیمار، برنامه فیزیوتراپی، کنترل رادیولوژی و سرعت کشش بر اساس پروتکل استاندارد و تجربه جراحیهای قبلی تنظیم میشود. با این حال، هیچ جراحیای بدون ریسک نیست و تصمیم نهایی برای انجام MTN باید بعد از مشاوره حضوری، بررسی مدارک و آگاهی کامل بیمار از مزایا و عوارض احتمالی گرفته شود..
مطالعه پیشنهادی: لیست کامل عوارض جراحی افزایش قد
اسکار و جای زخم در جراحی افزایش قد به روش MTN
در روش MTN برشهای پوستی نسبتاً کوچک و محدود هستند. برای هر ساق معمولاً چند برش ۱ تا ۲ سانتیمتری در ناحیه بالای ساق (برای ورود میخ و پیچهای قفلکننده) و یکی دو برش کوچک در پایین ساق ایجاد میشود. در این روش، برخلاف LON، فیکساتور خارجی و پینهای متعدد روی پوست وجود ندارد؛ بنابراین بیمار با جای سوراخهای زیاد روی ساق مواجه نمیشود.
در ماههای اول، رنگ اسکارها صورتی تا قهوهای است و ممکن است کمی برجسته یا سفت بهنظر برسند. بهطور معمول طی ۱۲ تا ۱۸ ماه، جای بخیهها نازکتر و روشنتر میشود و در بسیاری از بیماران فقط به صورت خطوط باریک قابل مشاهده است. شدت و ظاهر نهایی اسکار به عواملی مثل نوع پوست، ژنتیک، مراقبت از زخم، سیگار کشیدن و احتمال عفونت موضعی بستگی دارد.
اگر بیمار از نظر ظاهری حساسیت بیشتری داشته باشد، بعد از تکمیل جوشخوردن استخوان میتوان از کرمهای تخصصی اسکار، سیلیکون ژل، لیزرهای پوستی یا سایر روشهای ترمیم اسکار استفاده کرد. برنامه دقیق مراقبت پوستی باید در ویزیت پیگیری با توجه به وضعیت هر فرد تنظیم شود.
در تصاویر زیر نمونهای از جای زخم روی ساق یک بیمار ۲۰ ساله را مشاهده میکنید که چند ماه بعد از تکمیل دوره افزایش قد با روش MTN گرفته شده است. (نتایج ظاهری اسکار در افراد مختلف متفاوت است.)

چرا روش MTN توسط دکتر نادر مطلبیزاده را انتخاب کنید؟
✅ بیش از ۲۴ سال تجربه در جراحی افزایش قد
✅ بیش از ۱۵۰ عمل موفق به روش MTN
✅ امکان ارتباط با بیماران قبلی برای آشنایی با تجربیات آنها
مطالعه پیشنهادی: چرا میتوانید به مرکز افزایش قد ایران اعتماد کنید
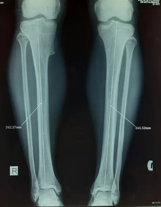
نمونه رادیولوژی افزایش قد ساق با روش MTN (بیمار ۲۰ ساله آقا)
در این تصاویر روند افزایش قد ساق با میله تلسکوپی MTN در یک بیمار ۲۰ ساله را میبینید. در رادیوگرافی قبل از عمل، طول هر دو تیبیا در محدوده ۳۴۳ میلیمتر اندازهگیری شده است. پس از جراحی، میله تلسکوپی MTN داخل هر دو ساق قرار گرفته و استخوان در ناحیه میانی برش داده شده است.

در هفتههای بعد، بیمار روزانه با استفاده از پیچ MTN حدود یک میلیمتر به طول استخوان اضافه کرده است. در رادیوگرافی میانی، فاصله ایجاد شده در محل استئوتومی حدود ۲۰ میلیمتر است و کالوس اولیه در اطراف شکاف دیده میشود. در تصویر بعدی، افزایش طول به حدود ۶٫۸ سانتیمتر رسیده و استخوان جدید تقریباً تمام شکاف را پر کرده است.

در رادیوگرافی نهایی، هر دو ساق هممحور هستند، فضای استئوتومی با استخوان جدید پر شده و طول نهایی ساقها نسبت به قبل از عمل حدود ۶–۷ سانتیمتر بیشتر است. این کیس نشان میدهد که با رعایت برنامه کشش، فیزیوتراپی و کنترل رادیولوژیک منظم، میتوان افزایش قد قابلتوجهی را با حفظ هممحوری اندام و پایداری ایمپلنت بهدست آورد.
(نتایج هر بیمار منحصر بهفرد است و میزان افزایش قد و سرعت جوش خوردن استخوان میتواند متفاوت باشد.)

در این بیمار، هممحوری مکانیکی ساقها حفظ شده و کالوس متراکم در ناحیه استئوتومی دیده میشود.
نتایج در افراد مختلف متفاوت است.
تجربه جراحی افزایش قد با روش MTN
تجربه موفق افزایش قد با روش MTN – داوطلبی از کشور نروژ
سلام، من ۱۸ سال دارم و از نروژ آمدهام. قد من ۱۵۹ سانتیمتر و وزنم ۵۱ کیلوگرم بود. برای انجام عمل افزایش قد به ایران آمدم و وقت ملاقات با دکتر نادر مطلبیزاده گرفتم. پس از بررسی وضعیت من، تصمیم بر افزایش ۷ سانتیمتری قد و اصلاح انحراف پرانتزی زانوها در حین عمل گرفته شد.
🔹 روز قبل از عمل خیلی استرس داشتم، اما بعد از عمل شرایط بهتر شد.
🔹 در ساعات ابتدایی دردی را تجربه کردم که بعدازظهر کمی بیشتر شد، اما بهتدریج کاهش یافت.
🔹 فکر نمیکردم روز بعد از عمل بتوانم راه بروم، اما توانستم بدون درد راه بروم!
🔹 هر روز ۳ بار پیچ مخصوص را چرخاندم (هر بار ۰.۲۵ میلیمتر) که معادل ۰.۷۵ میلیمتر افزایش قد در روز بود.
🔹 در نهایت، ۷ سانتیمتر افزایش قد داشتم و پیچهای افزایش قد در مطب پزشک، بدون نیاز به جراحی، برداشته شدند.
از امکانات و خدمات مرکز افزایش قد ایران کاملاً راضی هستم.
هزینه جراحی افزایش قد به روش MTN در مرکز افزایش قد ایران
هزینه جراحی افزایش قد به روش MTN به چند عامل اصلی بستگی دارد: محل جراحی (ساق یا ران)، میزان افزایش قد مورد نظر، وجود یا عدموجود انحراف در پاها و سن و وضعیت عمومی استخوانها. در بیماران سالمی که دفورمیتی خاصی ندارند، انتخاب بین ساق و ران بیشتر بر اساس میزان افزایش قد و ترجیح خود بیمار انجام میشود و همین انتخاب، مهمترین عامل تفاوت قیمت است.
برای بیماران غیرایرانی، در حال حاضر بازهٔ هزینه پایه جراحی افزایش قد (که روش MTN هم در همین بازه قرار میگیرد) حدود ۲۸۰۰۰ دلار برای جراحی روی ساق پا و ۳۳۰۰۰ دلار برای جراحی روی ران است. این مبالغ فقط شامل هزینه عمل جراحی و بیمارستان هستند؛ هزینههایی مانند فیزیوتراپی و توانبخشی، دارو و پانسمانهای طولانیمدت، تصویربرداریهای دورهای، وسایل کمکی (مثل واکر) و اقامت در تهران جداگانه محاسبه میشوند.
برای بیماران ایرانی، هزینه جراحی افزایش قد به روش MTN بر اساس همان منطق صفحه «هزینهها» بعد از معاینه و بررسی عکسها اعلام میشود، اما بهطور کلی میتوانید انتظار داشته باشید که جراحی روی ساق ارزانتر از ران باشد و وجود پای پرانتزی یا ضربدری، سن بالاتر از ۴۰ سال یا نیاز به اصلاح همزمان محور پا، هزینه نهایی را افزایش دهد. جهت دریافت برآورد دقیق هزینه جراحی افزایش قد به روش MTN متناسب با شرایط خود، بهترین کار ارسال قد، سن، قد هدف و عکسهای رادیولوژی برای تیم پذیرش و دریافت مشاوره اختصاصی است.
پوشش بیمهای
بیمه این جراحی را تحت پوشش قرار نمیدهد، زیرا یک عمل زیبایی محسوب میشود. با این حال، ممکن است بتوانید برای هزینههایی مانند داروها، عکسهای رادیولوژی دورهای و فیزیوتراپی از بیمه استفاده کنید.
سوالات متداول درباره جراحی افزایش قد با روش MTN
۱. در جراحی افزایش قد با روش MTN چه زمانی بعد از عمل میتوانم راه بروم؟
بیمار یک روز بعد از عمل میتواند با کمک واکر راه برود.
۲. آیا میتوانم در طول دوره افزایش قد کارهای شخصی خود را انجام دهم؟
بله، شما قادر خواهید بود کارهای شخصی روزمره خود را انجام دهید، اما باید از ایستادن و پیادهروی بیش از حد خودداری کنید.
۳. در جراحی افزایش قد با روش MTN چه زمانی میتوانم به کار یا تحصیل بازگردم؟
بسته به شرایط کار و تحصیل، 3 تا 6 ماه بعد از جراحی.
۴. چه زمانی بعد از عمل میتوانم رانندگی کنم؟
با تأیید پزشک، معمولاً بعد از ۳ هفته میتوانید رانندگی کنید، اما توصیه میشود که مدت رانندگی طولانی نباشد.
۵. میزان افزایش قد در روش MTN چقدر است؟
این روش امکان افزایش قد تا ۶٫۲۵ سانتیمتر در ساق پا و تا ۷ سانتیمتر در ران را فراهم میکند.
۶. آیا برای برداشتن پیچ افزایش قد نیاز به جراحی است؟
خیر، پیچ افزایش قد در مطب بدون نیاز به جراحی برداشته میشود.
۷. آیا در جراحی افزایش قد با روش MTN درد زیادی خواهم داشت؟
میزان درد در هر فرد متفاوت است، اما در روزهای اول بعد از جراحی درد بیشتر است. انجام فیزیوتراپی و ورزشهای کششی به طور قابل توجهی درد را کاهش میدهد. همچنین پزشک در صورت نیاز داروهای مسکن تجویز میکند.
۸. آیا خواب من تحت تأثیر قرار میگیرد؟
برخی بیماران ممکن است دچار کمخوابی یا بیخوابی شوند، اما این وضعیت با داروهای مناسب قابل کنترل است.
۹. آیا باید از تجهیزات خاصی در دوره افزایش قد استفاده کنم؟
بله، ممکن است بریسهای مخصوص برای کشیده شدن تدریجی تاندونها و کاهش فشار روی مفاصل در طول استراحت توصیه شود.
۱۰. هزینه جراحی MTN چقدر است؟
بستگی به عوامل و شرایط متعددی دارد، برای آگاهی تماس بگیرید یا در واتساپ پیام دهید.
۱۱. آیا این جراحی تحت پوشش بیمه است؟
خیر، از آنجا که این عمل زیبایی محسوب میشود، بیمه آن را پوشش نمیدهد. با این حال، ممکن است برخی هزینههای جانبی مانند داروها، عکسهای رادیولوژی و فیزیوتراپی تحت پوشش بیمه قرار بگیرند.
۱۲. چگونه میتوانم از تجربه بیماران قبلی اطلاع پیدا کنم؟
قبل از تصمیمگیری، میتوانید با بیمارانی که قبلاً این جراحی را انجام دادهاند تماس بگیرید و از تجربیات آنها استفاده کنید. تیم مرکز افزایش قد ایران امکان ارتباط با این افراد را برای شما فراهم میکند.
چگونه برای مشاوره و جراحی افزایش قد به روش MTN اقدام کنم؟
برای گرفتن اطلاعات دقیقتر درباره جراحی افزایش قد به روش MTN و بررسی شرایط خود، میتوانید از مشاوره تلفنی و واتساپ رایگان با مشاوران مرکز افزایش قد ایران استفاده کنید. فقط کافی است از طریق شماره ۰۹۰۰۵۶۵۲۲۰۹ در واتساپ پیام بدهید یا تماس تلفنی برقرار کنید تا راهنمایی اولیه، پاسخ به سوالات و توضیح روند کلی جراحی افزایش قد به روش MTN را دریافت کنید.
از همین طریق، در صورت تمایل، برای شما وقت مشاوره حضوری در مرکز تنظیم میشود. در مشاوره حضوری، قد فعلی و قد هدف، وضعیت کلی سلامت، عکسهای رادیولوژی و شرایط استخوان و مفاصل بررسی میشود و اگر از نظر پزشکی کاندید مناسب جراحی افزایش قد به روش MTN باشید، میتوانید درخواست ثبت نوبت جراحی بدهید. بنابراین، پیششرط قطعی کردن نوبت جراحی، انجام مشاوره حضوری و تأیید تیم درمان است.



سلام وقت بخیر ببخشید میشه هزینه عمل ۱۳ سانت افزایش با روش mtn برام ایمیل کنید با تشکر از شما
سلام. لطفا با شماره مطب تماس بگیرید
سلام من۲۰سالم و قد۱۷۱ سانت عاقلانه هست۸ سانت افزایش قد بدم؟ خطرش ب جون بخرم هر عملی عوارضی داره بلاخره
سلام، آیا بعد از اتمام دوره افزایش قد، رد میخ روی پا مشخص می شود؟
عرض سلامو خسته نباشید هزینه عمل ۱۳ سانت (۶سانت ساق و ۷سانت ران) به روش MTN چقدره؟
سلام پسر هستم قدم ۱۶۷ ۱۶ سالمه وزنم۶۲ تا ایا میتونم عمل کنم تا ۱۴ سانتیمتر؟
سلام، بله اگر صفحه رشد شما بسته شده باشه. برای اطلاعات بیشتر با 09005652209 در تماس باشید.
سلام آقای دکتر
من 23سالمه عمل افزایش قد به روش mtn . اگه بخوام 8 سانت ران رو بیشتر کنم(اگه 8 نمیشه 7سانت) هزینه عمل چقد میشه؟
قدم 159
سلام و احترام. با شماره 09005652209 در تماس باشید.
با سلام بنده خانم قد حدود154و 43 سال سن دارم و ساکن مشهد آیا امکان عمل افزایش قد دارم؟
بهترین و سریع ترین روش برای من کدام هست و هزینه رو بفرمایید متشکرم
سلام. معمولا خانم ها تا سن 40 سال توصیه می کنیم، اگر شرایط جسمانی شما ایده آل باشد برای شما انجام می شود. هزینه رو در واتس اپ از شماره 09005652209 بپرسید.